Discover the Benefits of Lung Ultrasound for Small Animals
Vevo ultra-high frequency ultrasound provides a fast, non-invasive method for identifying pulmonary pathologies.
Including:
- Pleural effusion
- Pleural thickening
- Pleural defects
- White lung
- Heart failure with preserved ejection fraction
Our technology is also an ideal option for non-invasive induction of your lung cancer models using image-guided injection.
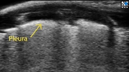
Healthy Lung Characteristic Artifacts:
- Bright pleural line at top
- A-lines - Curved, bright lines between dark rib shadows

Image courtesy of: M.Sc. Niklas Hegemann, Kübler lab, Institute of Physiology, Charité-Universitätsmedizin Berlin & Dr. Jana Grune, Nahrendorf lab, Center for Systems Biology, Massachusetts General Hospital.
Diseased Lung
Pleural thickening can be observed.
Image courtesy of M.Sc. Niklas Hegemann, Kübler lab, Institute of Physiology, Charité-Universitätsmedizin Berlin & Dr. Jana Grune, Nahrendorf lab, Center for Systems Biology, Massachusetts General Hospital.
Lung infection can be detected and compared to healthy lung tissue.
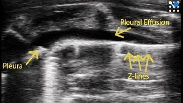
Pleural effusion can be seen along with B-lines coming down from the pleura.
Image courtesy of M.Sc. Niklas Hegemann, Kübler lab, Institute of Physiology, Charité-Universitätsmedizin Berlin & Dr. Jana Grune, Nahrendorf lab, Center for Systems Biology, Massachusetts General Hospital.
In more severe cases numerous B-lines appear together as white lung (observed in interstitial-alveolar sydrome.
Image courtesy of M.Sc. Niklas Hegemann, Kübler lab, Institute of Physiology, Charité-Universitätsmedizin Berlin & Dr. Jana Grune, Nahrendorf lab, Center for Systems Biology, Massachusetts General Hospital.