Vevo 3100 LT
Our entry-level in vivo imaging system - perfect for all your basic imaging needs

The Perfect Balance between Flexibility and Affordability

Vevo 3100 LT

This product has now entered the retirement phase.

The Vevo F2 LT offers versatility at your fingertips (1-71 MHz)

Perfectly suited for performing basic preclinical studies on small as well as larger animals - meeting both your research and budgetary needs.

The Vevo F2 LT offers real-time, in vivo physiological information that contributes to understanding biological functions and so much more. 

The Vevo F2 LT comes with a fixed set of features and hardware:

  • B-Mode
  • M-Mode
  • Color Doppler
  • PW Doppler
  • Vevo LAB Workstation Software
  • Your choice of transducer


Learn more about the new Vevo F2 LT.

Looking for Technical Specifications?

Ideal Applications

Cardiology

Perform basic cardiovascular research with small animal models including functional and anatomical analyses.

Developmental Studies

Detect and monitor pregnancy in vivo. Repeatable for longitudinal studies over the full gestational term with resolution down to 30 μm.

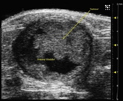
Cancer Imaging

Detect pre-palpable tumors earlier and monitor growth using high resolution, all at high throughput.

Image-guided needle injections

Perform precise, accurate and repeatable guided injections into almost any anatomical target.

Request a Quote or Demo